Recently, we met OK, a happy 13-month old male Australian Shepherd. His owners described him as an energetic, active dog who overall was doing well – but every now and then, they had noticed something small. A slight favoring of his left hind leg. It wasn’t dramatic or consistent, but they decided to be proactive and make sure there was nothing wrong.
On our exam, OK was bright and playful. He demonstrated no visible lameness at the walk or trot, and he could sit squarely, with no issues going from a stand to sit to down and back. The only thing we could find was a slight resentment when we tried to extend his hips fully.
Based on this finding and the owner’s observations, we decided to perform a PennHip procedure. A PennHip is a specialized x-ray test during which a device is used to apply pressure to the hips, allowing us to measure the degree of laxity (looseness) in the hip joints and assess the risk for developing arthritis.

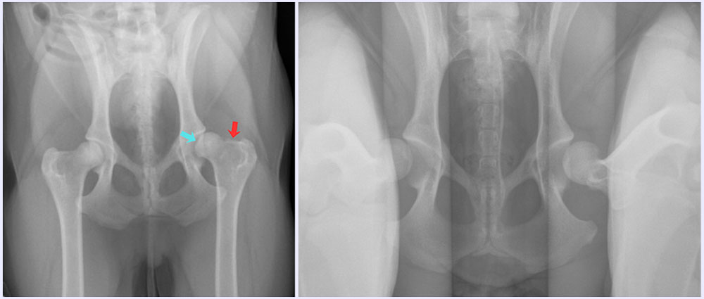
The first picture is a standard extended-leg view of the pelvis – at a quick glance they don’t look too bad. Closer inspection shows the left femur (on the right side of the picture) is a little flattened (blue arrow) and not sitting as well within the hip socket, as well as some small osteophytes (bone spurs characteristic of osteoarthritis) forming on the neck of the femur (red arrow).
The second picture is the Penn-Hipp, and here you can really see just how far the femoral heads can move outside of the hip socket, and that calculated amount of movement is called the “Distraction Index” (DI). The average DI for Australian Shepherds is 0.47, meaning the breed is generally at a moderate risk of hip arthritis due to hip dysplasia. OK’s DI was 0.85!! This means that he was at very high risk of developing arthritis – and, in fact, the x-rays showed he already was!
We made the decision to use an injectable product called Arthramid in OK’s hips. This is a hydrogel which would absorb from the joint space into the joint capsule, strengthening it, reducing inflammation, and hopefully slowing the progression of his disease. We went ahead and treated both hips before we even woke him up from the x-ray procedure!
Because OK’s owners had paid attention to subtle signs, we were able to make this diagnosis very early and intervene right away. We now have an on-going plan that involves weight management, joint supplements, regular checkups, and likely periodic joint injections, that will hopefully keep him active and comfortable for many years to come.
Leave A Comment